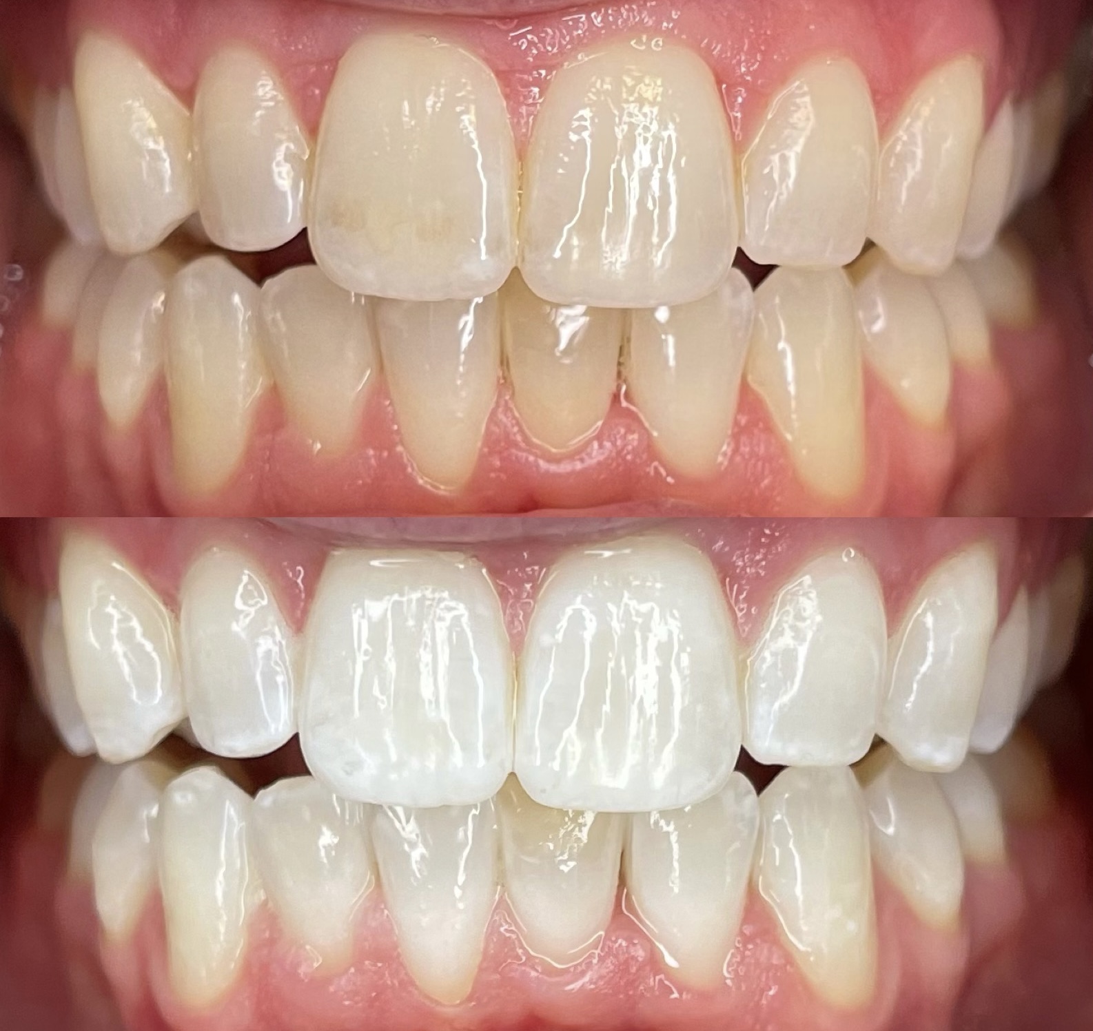
Moderní bělicí systém — v ordinaci i doma. První fáze proběhne pod dohledem lékaře s aktivací LED lampou pro okamžitý viditelný výsledek. Poté odcházíte s vlastními bělicími nosiči a gelem, takže si výsledek udržíte a kdykoli doma lehce osvěžíte.
Philips ZOOM! patří mezi nejúčinnější metody profesionálního bělení zubů na světě. Spojuje aktivní bělicí gel a LED lampu, díky čemuž dochází k rychlému zesvětlení zubů bez zbytečného zatížení skloviny.
🕒 Délka ošetření: přibližně
60 - 90 minut
vstupní konzultace a kontrola chrupu
ochrana dásní a citlivých míst
nanesení bělicího gelu
aktivace LED lampou (několik krátkých cyklů)
závěrečné porovnání odstínu

běžná a přechodná citlivost může nastat
ochrana dásní je vždy součástí zákroku
vše probíhá po předchozím vyšetření